Behandlinger vi er stolte av
Alle eksemplene her er godkjent at brukes av den enkelte pasient.


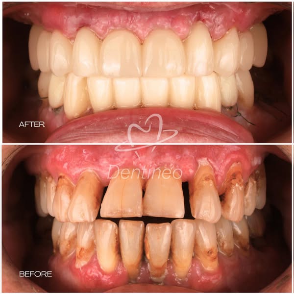
Forvandling
Enda en spektakulær forvandling i boks!Vi startet denne behandlingen med full diagnose, fjernet de gamle lekke kronene, og under behandlingen brukte vi midlertidige estetiske kroner.Totalt laget vi 12 individuelt designede helkeramiske kroner, inkludert en på implantatet. Hele behandlingen tilpasset ansiktet, tannfargen og forventningene til vår fantastiske pasient.Effekt? Et smil som ser naturlig ut, men som samtidig gjør et stort inntrykk.
Kirurgisk del - Dr. Adam Bielawski
Protetisk del - Dr. Maja Wi niewska
Profesjonell hygienepakke - hig. Ewelina Matysek Laboratorie del
-Tech.dent.Artem Siniawski





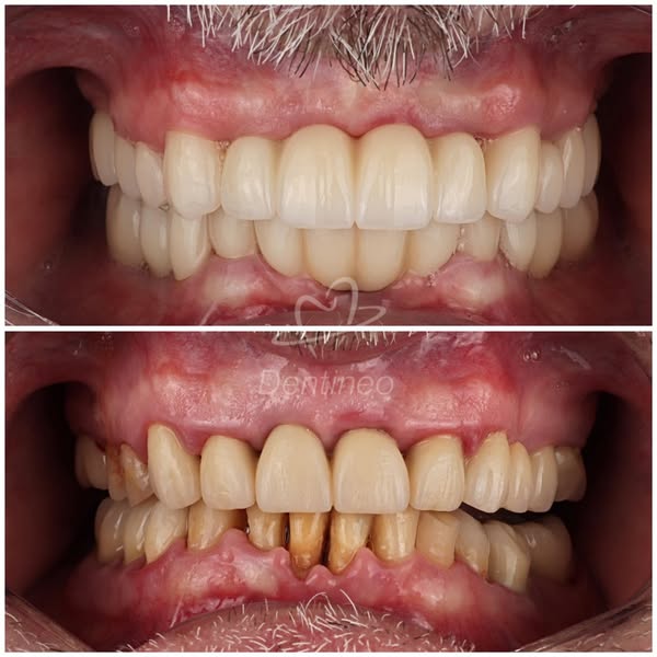
Detaljer
Noen ganger kan bare én detalj forvandle hele ansiktet! 😍
Vår pasients gamle kroner hadde gradvis mistet sitt naturlige utseende. Fargen matchet ikke lenger et sunn hvitt smil og formen på tennene ødela harmonien i smilet.
Etter omfattende behandling med fullkeramiske kroner, ble smilet ugjenkjennelig. Tennene fikk en naturlig nyanse, perfekt balansert form, og en glans som ser utrolig autentisk ut.
Takket være avansert teknologi (inkludert datastyrt anestesi og individuelt designede kroner), klarte vi ikke bare å gjennopprette riktig bitefunksjon, men også å skape et smil som ser vakkert naturlig og perfekt harmonisk ut. ✨
➡️ Kirurgisk del Dr. Adam Bielawski
➡️ Protese del Dr. Jacek Januszewski
➡️ Profesjonell hygiene pakke Ewelina Matysek
➡️ Laboratoriearbeid Tanntekniker Artem Siniawski
💬 Drømmer du om en slik transformasjon?👉 Send oss en melding og bestill konsultasjonen din – ditt nye smil kan være nærmere enn du tror! www.tanngdansk.net


En drøm
Pasienten kom til oss med en drøm om en fullstendig restaurering av smilet hennes. Vi planla behandlingen i etapper, med hensyn til behovene til øvre og nedre kjeve og omfattende diagnostikk.I øvre kjeven laget vi bro og kroner på implantatene, alt i en naturlig farge, for å oppnå et harmonisk, lyst smil. Vi utførte også implantatbehandlinger med forhøyelse av nedre bekken og beinrekonstruksjon. I tillegg har vi brukt avspenningsbøyle for å sikre bittet og hemme forlengelsen av undertenner - frem til behandlingen av underbuen fortsetter. Effekt? Stabil, estetisk og funksjonell rekonstruksjon som skal stå tidens prøve. Kirurgisk del - Dr. Adam Bielawsk -
Protetisk del Dr. Anna Rosu -
Profesjonell hygienepakke hyg. Anna Brokos - .
Laboratorie del Tech.dent.Artem Siniawski



Møt høsten
Ny pasient som kan møte høsten med et smil selv om det er midlertidige, men resultatene er allerede imponerende! På bare to dager fjernet vi tenner som ikke kunne reddes, plasserte implantater og laget en estetisk og funksjonell midlertidig restaurering — som lar pasienten dra fra klinikken med et nytt smil innen 48 timer! Den endelige restaureringen ligger fortsatt foran oss — men forskjellen er allerede bemerkelsesverdig!



Et nytt smil
Ny pasient som kan møte høsten med et smil selv om det er midlertidige, men resultatene er allerede imponerende! På bare to dager fjernet vi tenner som ikke kunne reddes, plasserte implantater og laget en estetisk og funksjonell midlertidig restaurering — som lar pasienten dra fra klinikken med et nytt smil innen 48 timer! Den endelige restaureringen ligger fortsatt foran oss — men forskjellen er allerede bemerkelsesverdig!



Forvandlingen
Noen møter høsten med et smil. Hele planen ble gjennomført steg for steg - med full hensyn til pasientens komfort og den nødvendige heletiden for vevet Det endelige resultatet? Evnen til å tygge og bite effektivt - forbedrer den generelle livskvaliteten og påvirker den generelle helsen positivt. Et vakkert, naturlig og livlig smil - gjenoppretter selvtilliten og endrer uten tvil livet til det bedre. Tenker du på en smilforvandling?



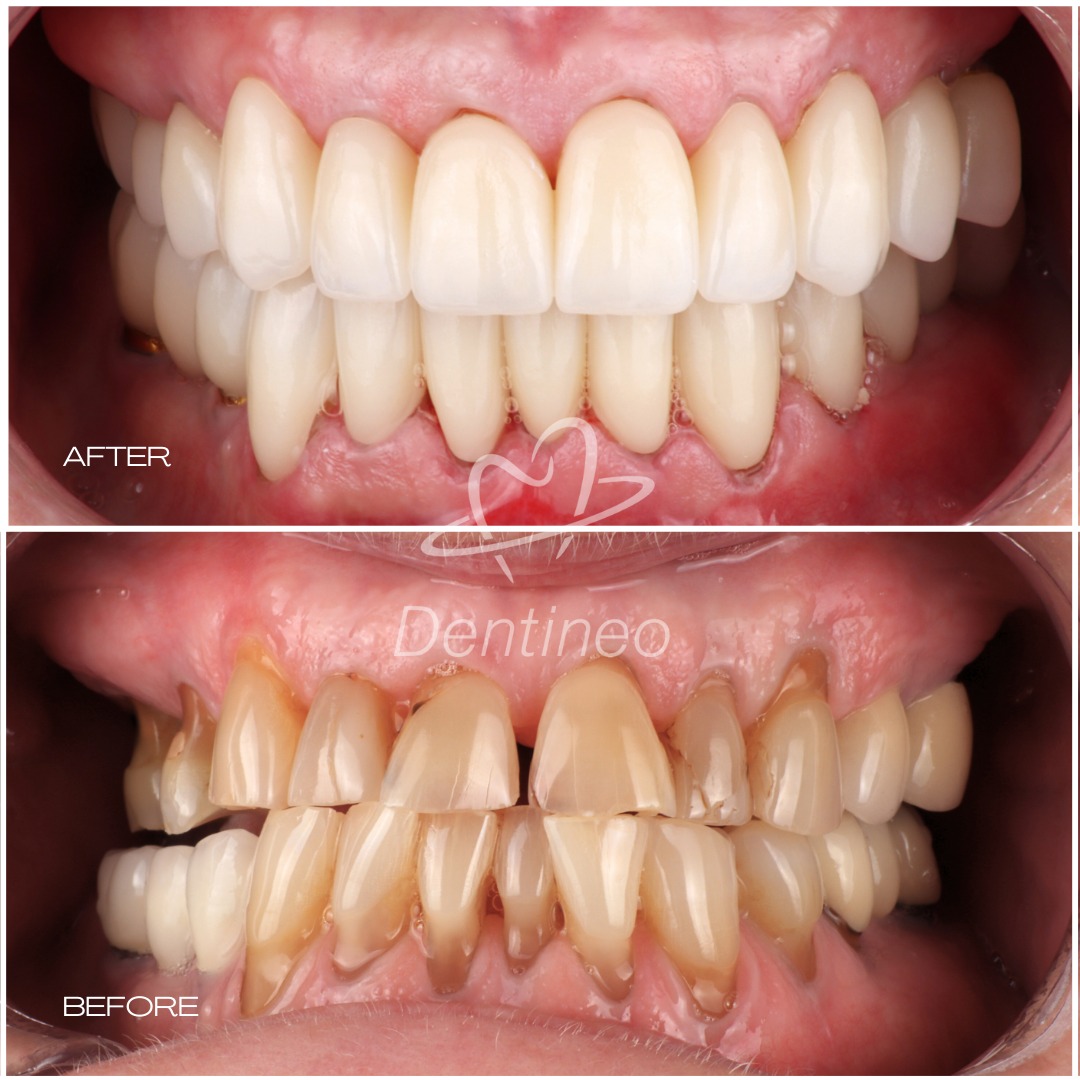
Smilmetamorfose
Smilmetamorfose - omfattende rekonstruksjon på vår pasient fra IslandVi presenterer resultatet av vår pasients behandling, hvor vi utførte en komplett estetisk og funksjonell rekonstruksjon, inkludert individuell smiledesign og restaurering av riktige bittforhold.Dette oppnådde vi gjennom implantatpoding, midlertidige kroner for implantathelingsperioden, og siste stadium, altså fullkeramiske kroner på egne tenner og implantatene. Fullkeramisk restaurering Dr. Jacek Januszewski - Kirurgisk behandling Dr. Adam Bielawski - Laboratorie Del - Teknologi. tann. Artem Siniawski. Effekt? Naturlig, harmonisk og permanent smil, individuelt tilpasset pasientens tilstander.



Kompleks behandling
I noen tilfeller tar kompleks tannbehandling tid - vi venter f.eks. på prosessen med benregenerering, implantatheling og stabilisering av tilstander i munnhulen før den endelige rekonstruksjonen av proteser. Samtidig vet vi hvor viktig det er for hver enkelt av oss å få milet. Derfor bruker vi estetiske midlertidige restaureringer som ikke bare gjør at pasienter kan fungere normalt, men også, og kanskje mest av alt... forvandler smilene deres og gir dem selvtillit siden deres første besøk hos oss i Gdansk! Dette er ikke det endelige resultatet ennå - men akkurat nå forlater pasienten vår kontoret med et fantastisk smil. Har du spørsmål? Tormod er vår norske kontakt på 975 82 788 eller www.tannbehandling.net



All on 4
Sommeren nærmer seg og hva er vel bedre enn et flott smil. Nok en pasient med en total forvandling med all on four hos oss i Gdansk. Neste gang kan bli deg. Har du spørsmål eller ønsker en time. www.tannbehandling.net eller norsk kontakt Tormod Ustad 975 82 788




Nok et smil ferdig
Da kan nok en av våre norske pasienter som tok turen til Gdansk for tannbehandling gå sommeren i møte med et smil.
Dr. Maya med rotbehandling og forberedende,
Dr. Jacek kroner og bro,
Weronika rensing og forberedende hygiene
Artem produksjon av kroner og bro. Mer om oss på www.tanngdansk.net



Defekt fortann
En pasient kom til oss i Gdansk for å erstatte en mørk og ødelagt fortann med et implantat. Han manglet også en bakre jeksel og resten av tennene var mørke og misfargede, samtidig som bittet var kraftig redusert. Dr. Anna Rosul utførte rekonstruksjon av tenner med kroner og keramiske facetter og Dr. Adam Bielawski erstatning av tanntap med implantater. Mer om behandlinger på www.tannbehandling.net


Utenlandske pasienter
På vår tannklinikk i Gdansk har vi foruten Polen også pasienter fra Norge, Sverige , Danmark, Tyskland, England, Spania og en stor kontingent fra Island. Her er en fra nettopp Island fått smilet tilbake før sommeren. www.tanngedansk.net


Løs protese eller fast
Tidligere hatt løs protese eller tanntap av forskjellige grunner. Nå er muligheten mange for faste tenner og flere velger varige løsninger som implantater. Nok en pasient som møter sommeren med et smil. www.tannbehandling.net




Selvtillit
Det finnes ikke noe vakrere enn selvtillit som følger med et sunt, fyldig smil! Pasienten vår gjennomgikk en kompleks metamorfose som inkluderte implantat og protesebehandlinger hos oss i Gdansk. Hver etappe var et steg mot det perfekte smilet – fra presis planlegging til implantater og fullkeramiske kroner. Møt høsten med et smil du også.




Smilende uke
Vi ønsker deg en god og smilende uke! Fantastisk smil møter høsten. Keramiske facetter og en keramisk krone på implantat.
Skallfacetter - Dr. Anna Rosul og Dr. Alicja Ramsz
Profesjonell hygienepakke Weronika Ziomka
Laboratoriearbeider på facetter - tekniker Artem Siniawski



Fantastisk smil
Enda en som møter våren med en fantastisk smil makeover! Vår pasient gjennomgikk en omfattende behandling, inkludert: implantat, protese og regenerativ behandling! Før behandling: Pasienten hadde tannhull og gamle kroner, hvor beinrekonstruksjon og implantater var nødvendig. Målet vårt var et fantastisk smil og fullstendig pasienttilfredshet!
dr. Anna Rosul – protesebehandling
dr. Adam Bielawski - implantat og kirurgiske inngrep
Weronika Ziomka - profesjonell hygienepakke
Artem Siniawski – produksjon av kroner og protese.
Neste gang kan det være deg.





Omfattende behandling
Takket være en omfattende behandlingsplan gjennomgikk pasienten vår en bemerkelsesverdig forvandling. Fra tannuttrekk, til implantat prosedyrer og fullkeramiske kroner, hvor sluttresultatet ble fantastisk.
dr. Jacek Januszewski - helkeramiske kroner, keramiske facetter, implantat kronerdr.
Adam Bielawski - implantatprosedyrer, benregenerering.
Ewelina Matysek - profesjonell hygienepakke
Nye helkeramiske kroner og implantater på over- og underkjeve, som gir naturlig utseende og funksjonalitet. Ønsker du å forvandle smilet ditt inviterer vi deg til Dentineo tannklinikk i Gdansk. Kontakt vår norske pasientkoordinator på tlf. 975 82 788




Fantastisk forvandling
NB! Personer som er avbildet har gitt tillatelse til det.
Enda en fantastisk forvandling som viser hvordan moderne tannpleie kan forvandle ikke bare et smil, men også selvtilliten din! Pasienten gjennomgikk omfattende behandling, og resultatet? Sunt, harmonisk og lyst smil!
Dr. Alicja Ramsz – tannkroner
Dr. Adam Bielawski - kirurgisk behandling
Ewelina Matysek - profesjonell hygienepakke
Artem Siniawski – produksjon kroner
Hvis du drømmer om en lignende forandring - ikke vent! Planlegg en konsultasjon og start din reise mot et vakkert smil i dag!



Glad og fornøyd pasient
En glad og fornøyd pasient betyr en fornøyd tannlege Denne pasienten hadde brukt avtagbar akryl øvre og nedre protese i mange år. Begge var ukomfortable, løse og usikre.Noen få tenner igjen med paradontose og infeksjoner.
Under sitt første besøk hos Dr. Adam fikk han fjernet tennene og utførte samtidig umiddelbare implantater sammen med benregenerering. Etter implantathelingsperioden hadde vi et nytt møte hvor vi lagde den siste zirkon-broen festet til implantatene.
Resultat ble Ikke flere løse, ukomfortable tannproteser.
Bare permanente, sterke tenner der tennene skal være.
Laboratorie del - Artem Siniawski
Kirurgisk og protetisk seksjon - Adam Bielawski




Fantastisk forvandling
Hver metamorfose er en stor tilfredsstillelse for oss i Gdansk! Viser resultatene av en av våre pasienter fantastiske forvandling fra forrige uke! Behandlingsresultater endrer ikke bare utseende, men øker også selvtilliten.
Dr. Anna Rosul - protesebehandling
Ewelina Matysek - profesjonell hygienepakke




Nok et smil
2025 er i gang og nok et smil er på plass.
Dr. Adam stod for implantatene,
Dr. Maya rotbehandling og kroner,
Ewelina utførte tannrens.
Neste gang kan det være deg.

